Request an Appointment

820 A Turnpike St., North Andover MA, 01845

Call Us at (978) 655-1583

Learn about tooth erosion

Sugar isn’t the only culprit when it comes to tooth decay. High levels of acid in everyday foods and drinks can be just as harmful. From oranges to wine, high-acid foods and drinks can wear away your teeth, causing decay, sensitivity and discoloring. But that doesn’t mean you have to strike all acidic foods and drinks from your diet. The way you consume these items can lessen their damage on your teeth.

What is tooth erosion?

 

When the enamel, or protective surface of your teeth, wears away, it exposes the underlying material, called dentin. This leaves your tooth vulnerable to plaque and bacteria, which cause decay.

What causes tooth erosion?

 

Calcium is a key ingredient in building strong teeth. Unfortunately, exposing your teeth to acid can leach calcium from your enamel, causing this protective surface to break down. Acid can come from many sources, including the following:

  • Carbonated drinks. All soft drinks, including "diet" options, contain high levels of acid that can easily dissolve your enamel.
  • Wine. Whether you choose red, white or rosé, drinking wine will soften your enamel.
  • Fruit juice. The most acidic options include lemon, cranberry, orange and apple.
  • Citric fruits. Snacking on oranges, lemons and limes can wear down your teeth.
  • Candy. No sugary sweets are good for your teeth, but you should pay extra attention to avoid sour gummies and candies.
  • Sugar. Even though sugar itself does not contain high levels of acidity, it promotes the growth of acid-creating bacteria in your mouth, creating an acidic environment.
  • Stomach acid. Vomiting and reflux also can cause serious tooth damage when stomach acid comes into contact with your teeth. If you suffer from an eating disorder, acid reflux or a related condition, seek professional help.

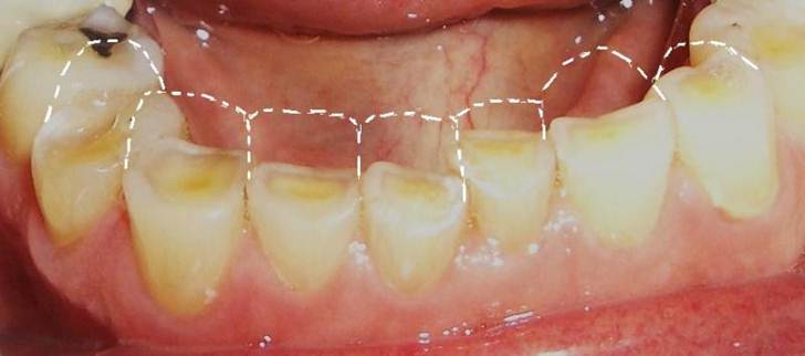
What are some signs of tooth erosion?

 

Acid wear may lead to serious dental problems. It is important to notice the signs of tooth erosion in its early stages (sensitivity and discoloration) before more severe damage occur, such as cracks, pain and decay.

  • Sensitivity. As your teeth’s protective enamel wears away, you may feel a twinge of pain when you consume hot, cold or sweet food and drink. As more enamel is worn away, teeth become increasinglysensitive.
  • Discoloration. Teeth can become increasingly yellow as the thinning enamel layer exposes the underlying dentin.
  • Rounded teeth. Your teeth may have a rounded or "sand-blasted" look.
  • Transparency. Your front teeth may appear slightly translucent near the edges.
  • Cracks. Small cracks and roughness may appear at the edges of teeth.
  • Cupping. Small dents may appear on the chewing surface of the teeth, and fillings may appear to be rising up out of the tooth.

What can I do to prevent tooth erosion?

 

Follow these tips to reduce the effects of acid on your teeth.

  • Eat with meals. Instead of snacking throughout the day, save acidic foods for mealtimes. This will reduce their contact with your teeth and help neutralize the acid by eating it with other foods.
  • Wash down with water. Sip water alongside or after the acidic food or drink to wash it out of your mouth.
  • Use a straw. If you must drink acidic beverages, reduce their contact with your teeth by using a straw and finishing the drink quickly, instead of sipping over a long period of time.
  • Say no to bubbles. Swap out carbonated drinks with water, milk or tea.
  • Wait before brushing. Acid softens your enamel, so brushing immediately after eating or drinking high-acid foods or drinks can actually cause damage. Wait at least half an hour and then start brushing. In the meantime, you can always rinse your mouth with tap water.

Dr. Brian H Yoon is a general dentist in North Andover, MA.  His team provides comprehensive dental care for children and adults.

Copyright © 2026 · Powered by LOCALiQ